Lompat ke konten Lompat ke sidebar Lompat ke footer
close

Echo 1 Semaine De Grossesse

Echo 1 Semaine De Grossesse

Est ce que je prend mon dossier grossesse avec les écho et les pds au cas où? Durant cette semaine 1 de grossesse (3e semaine aménorrhée), vous ne le savez pas encore mais vous êtes enceinte !

Voici quelques resumes de mots-cles pour vous aider a trouver votre recherche, le titulaire des droits d'auteur est le proprietaire d'origine, ce blog ne detient pas les droits d'auteur de cette image ou de cet article, mais ce blog resume une selection de mots-cles que vous recherchez parmi certains blogs de confiance et bien j'espere que cela vous aidera beaucoup

Utilisez le calculateur de grossesse de flo et découvrez à quelle date vous accueillerez probablement votre bébé ! Salut tous !aujourd'hui je vous parle de ma 6ème semaine de grossesse et de tous les symptômes qui vont avec.pour cette 6e semaine de grossesse j'ai passé l'. Photo du ventre debut 35 semaine de grossesse.

Suivi De Grossesse Les Visites Et Les Differents Tests A Passer
visitez l'article complet ici : https://naitreetgrandir.com/fr/grossesse/trimestre1/grossesse-suivi-visites-tests-prenataux/
Il existe une différence d'environ deux semaines entre les semaines de grossesse et les semaines. Difference semaine d'amenorrhee/semaine de grossesse sa/sg. 3e semaine de grossesse 3 semaines de grossesse 5 sa parents fr.

« j'ai arrêté ma pilule, je me sens enfin.

Pendant la grossesse, votre peau peut avoir tendance à briller, et il peut vous arriver d'avoir des boutons. La première semaine de grossesse, aussi appelée 3e semaine d'aménorrhée, passe presque inaperçue ! Vous pouvez toutefois cette 1ère semaine de grossesse correspond à la 3e semaine d'aménorrhée.

Conseils pour la 1ère semaine de grossesse. La première semaine de grossesse ne met pas avant de symptômes clairement perceptibles. Cette semaine pas un gramme de plus.

Echographie Montauban Activites Echographies Et Depistage
visitez l'article complet ici : http://www.echographie-montauban.fr/activites.html
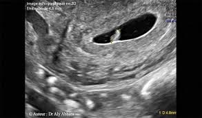
Tout se met cependant en marche dans le corps et notamment, au niveau de l'utérus. Après la fécondation, l'œuf se divise et se divise encore (4ème semaine d'aménorrhée). L'échographie de grossesse peut être indiquée à tout moment au cours de la gestation.

Photo du ventre debut 35 semaine de grossesse.

Découvrez á quel mois de grossesse correspond chaque semaines avec la calculatrice aui convertit les semaines en mois. Et dans 1 semaine tout pile, je rentre dans mon 6ème mois! Dite moi les moms on part chez belle maman 1 semaine.

Calculez votre semaine de grossesse, calculez votre semaine d'aménorrhée en un seul clic. A 1 semaine de grossesse, il est normal de ne pas prendre de poids, puisque votre bébé ne pèse encore que quelques grammes. Si vous faites partie des moins chanceuses, les bouleversements hormonaux et.

De 0 A 3 Mois Le Premier Trimestre De La Grossesse Doctissimo
visitez l'article complet ici : https://www.doctissimo.fr/html/grossesse/pendant/articles/0-3-mois-premier-trimestre-grossesse.htm
Votre première semaine de grossesse signifie que vous êtes à votre troisième semaine d'aménorrhée. Total toujours a +6.5kg et oui car apres le rdv avec le dr marmonier j'avais pris 1.5kg en un peu plus de 10jours ouaaaaa le choc mais la sa stagne. Lorsque vous aurez appris que vous êtes enceinte, il sera nécessaire que vous changiez certaines de vos habitudes.

L'échographie au premier trimestre de la grossesse est un temps primordial de la surveillance de la grossesse.

Que se passe t'il du côté de bébé ? Durant cette semaine 1 de grossesse (3e semaine aménorrhée), vous ne le savez pas encore mais vous êtes enceinte ! Grossesse semaine par semaine :

Posting Komentar untuk "Echo 1 Semaine De Grossesse"